トップページ
>
症例
総合的プライマリ・ケア診療
高精度画像診断技術
低侵襲治療
肺RFA
(肺がんに対するラジオ波焼灼治療)
日本外科学会/
外科専門医制度関連施設
日本消化器外科学会/
消化器外科専門医制度関連施設
日本IVR学会/
専門医修練認定施設
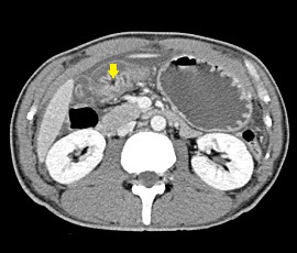
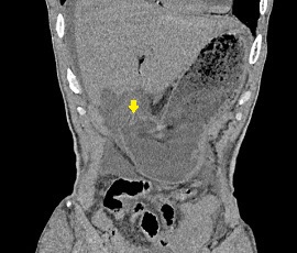
[十二指腸潰瘍穿孔] 手術:腹腔鏡下胃・十二指腸潰瘍穿孔縫合術
CT画像
CT画像
手術画像
手術画像
手術画像
手術画像
|
サイトマップ
|
交通アクセス
|
個人情報保護方針
|
お問い合わせ
|