内視鏡やカテーテルなど、身体に対する侵襲度が低い医療機器を用いた治療のことをいいます。 低侵襲治療により患者さんの負担を少なくし、術後の回復が早くなります。
当院は低侵襲治療(内視鏡、胸腔鏡・腹腔鏡手術、IVR治療)に積極的に取り組んでおります。
トップページ > 槇殿順記念病院の診療の特徴 > 低侵襲治療

内視鏡やカテーテルなど、身体に対する侵襲度が低い医療機器を用いた治療のことをいいます。 低侵襲治療により患者さんの負担を少なくし、術後の回復が早くなります。
当院は低侵襲治療(内視鏡、胸腔鏡・腹腔鏡手術、IVR治療)に積極的に取り組んでおります。





◆早期咽頭がんに対する内視鏡的粘膜下層剥離術(ESD)
◆早期食道がんに対する内視鏡的(粘膜切除術(EMR)・粘膜下層剥離術(ESD))
◆早期胃がんに対する内視鏡的(粘膜切除術(EMR)・粘膜下層剥離術(ESD))
◆食道胃静脈瘤に対する治療(内視鏡的食道・胃静脈瘤硬化療法(EIS)、
内視鏡的食道・胃静脈瘤結紮術(EVL)
◆内視鏡的消化管止血術
◆食道狭窄拡張術、内視鏡的胃、十二指腸狭窄拡張術
◆内視鏡的食道及び胃内異物摘出術
◆食道ステント留置術
◆内視鏡的胃、十二指腸ステント留置術
◆胃瘻造設術(経皮的内視鏡下胃瘻造設術)
早期食道がん、胃がんを切らずに治す低侵襲な内視鏡治療
食道、胃における早期がんに対する内視鏡治療手技が発達し、根治ができる症例が増加
しており、従来の治療に代わる新しい治療法として注目されていますが、当院では可能
なかぎり食道、胃における早期がんに対しては内視鏡的粘膜下層剥離術(Endoscopic
submucosal dissection、以下ESD)を行っております。
ESD治療の実際

治療手技は内視鏡治療用の電気のメスで直接、病変部を切って剥ぎ取る方法です。高度
な内視鏡治療技術が要求されます。比較的大きな病変も一括切除が可能であるため局所
再発率を下げることや、顕微鏡による正確な病理診断を行い、がんの悪性度を正確に調
べることができることなどのメリットがあります。低侵襲治療と正確な病理診断を兼ね
た非常に優れた内視鏡的治療になりますが、しかし正確な病期診断が不可欠であり、早
期がんに対する各種画像検査を行い治療の適応を決定します。
全ての食道がん、胃がんの患者さんに対し、この治療法が可能というわけではありませ
ん。当院では根治度を保ちながら、できるだけ患者さんの負担を軽くするような手術を
心がけています。この治療法に関してご質問などありましたら外来でご相談ください。


◆早期大腸がんに対する早期悪性腫瘍大腸粘膜下層剥離術(ESD)
◆大腸ポリープおよび早期大腸がんに対するポリペクトミー、内視鏡的結腸ポリープ
粘膜切除術(EMR)
◆内視鏡的消化管止血術・小腸結腸内視鏡的止血術
◆小腸・結腸狭窄部拡張術(内視鏡によるもの)
◆内視鏡的結腸異物摘出術
◆下部消化管ステント留置術
◆内視鏡的痔核結紮術
早期大腸がん、腫瘍を切らずに治す低侵襲な内視鏡治療
大腸における早期がんに対する内視鏡治療手技が発達し、根治ができる症例が増加して
おり、従来の治療に代わる新しい治療法として注目されていますが、当院では可能なか
ぎり食道、胃と同様に大腸における早期がんに対しては内視鏡的粘膜下層剥離術
(Endoscopic submucosal dissection、以下ESD)を行っております。
ESD治療の実際

治療手技は内視鏡治療用の電気のメスで直接,病変部を切って剥ぎ取る方法です。高度
な内視鏡治療技術が要求されます。比較的大きな病変も一括切除が可能であるため局所
再発率を下げることや、顕微鏡による正確な病理診断を行い、がんの悪性度を正確に調
べることができることなどのメリットがあります。低侵襲治療と正確な病理診断を兼ね
た非常に優れた内視鏡的治療になりますが、しかし正確な病期診断が不可欠であり、早
期がんに対する各種画像検査を行い治療の適応を決定します。
全ての大腸がん、大腸腫瘍の患者さんに対し、この治療法が可能というわけではありま
せん。当院では根治度を保ちながらできるだけ患者さんの負担を軽くするような手術を
心がけています。この治療法に関してご質問などありましたら外来でご相談ください。


◆内視鏡的経鼻胆道ドレナージ(ENBD)
◆内視鏡的逆行性胆道ドレナージ(ERBD)
◆内視鏡的逆行性胆管膵管造影(ERCP)
◆内視鏡的胆道結石除去術
◆内視鏡的乳頭切開術(EST)
◆胆道狭窄に対する内視鏡的胆道ステント留置術
総胆管結石に対する低侵襲な内視鏡治療
胆石は胆嚢、胆管内につくられた結石のことをいい、胆管に作られた結石を総胆管結石
と呼びます。総胆管結石に対してはまず内視鏡によって胆管の出口を拡張して結石を摘
出する内視鏡的乳頭切開術(EST)を行います。胆管の出口を広げた後、結石除去用の
バスケット鉗子を胆管内に挿入して結石を除去します。ほとんどの場合は内視鏡治療で
胆管結石を除去することが可能ですが、内視鏡治療が困難と判断した場合は手術(腹腔
鏡下胆管結石切開結石除去術)で摘出します。また状況に応じて(高度な急性胆管炎を起こ
している場合)胆道ドレナージを行います。
胆管結石症に対する内視鏡治療の実際

治療手技はまず十二指腸まで挿入した内視鏡から胆管内にカテーテルを挿入し、造影剤
を注入し胆管および膵管の観察をします(内視鏡的逆行性胆管膵管造影(ERCP))。
胆管の形状や胆管内の結石を確認します。続いて総胆管結石の除去に移ります。胆管の
出口(十二指腸乳頭部)を広げるために乳頭切開を行います(内視鏡的乳頭切開術
(EST))。出口を広げた後、結石除去用のバスケット鉗子を胆管内に挿入して結石を除去
します。
全ての総胆管結石の患者さんに対し、この治療法が可能というわけではありません。
当院では根治度を保ちながら、できるだけ患者さんの負担を軽くするような手術を心が
けています。この治療法に関してご質問などありましたら、外来でご相談ください。


◆膀胱腫瘍に対する膀胱悪性腫瘍手術(経尿道的手術:TUR-Bt)
◆経尿道的膀胱結石除去術
◆経尿道的尿路結石破砕術(TUL)
◆経尿道的尿管ステント留置術・抜去術
◆膀胱水圧拡張術
膀胱がんを切らずに治す低侵襲な内視鏡治療
表在性膀胱がんの場合には経尿道的膀胱腫瘍切除術(TUR-Bt)でがんを切除できる可
能性が高く、膀胱鏡検査などにより膀胱がんが疑われる所見がある場合、診断的治療と
してTUR-Btを行います。切除組織の顕微鏡検査でがんの悪性度、深達度などを正確に
評価し追加治療の必要性を検討します。
TUR-Bt治療の実際

腰椎麻酔(下半身麻酔)もしくは全身麻酔をおこない、まず尿道から内視鏡を挿入して
病巣部を確認します。電気メスの鉗子を挿入し病巣部を一括切除します。術後病理診断
の結果、がんが粘膜〜粘膜下層にとどまっていて完全に取り切れていれば治療は完了し
ます。しかし、表在性がんは膀胱内に再発しやすいという特徴があり、再発のリスクが
高いと判断した場合には、予防的に抗がん剤やBCGを膀胱内に注入することがあります。
全ての膀胱腫瘍の患者さんに対し、この治療法が可能というわけではありません。当院
では根治度を保ちながら、できるだけ患者さんの負担を軽くするような手術を心がけて
います。この治療法に関してご質問などありましたら、外来でご相談ください。
尿管結石に対する低侵襲な内視鏡治療
脊椎麻酔(下半身麻酔)または全身麻酔下に軟性尿管鏡(細径内視鏡)を尿管や腎まで
挿入し、直接結石を確認しながらレーザーを用いて破砕する治療法です。直接観察する
ことで、安全かつ確実に砕石することが可能となり、割れた結石はバスケット状のカテ
ーテルを使用し、身体の外へ取り出します。


TUL治療の実際

全ての尿管結石の患者さんに対し、この治療法が可能というわけではありません。当院
では根治度を保ちながら、できるだけ患者さんの負担を軽くするような手術を心がけて
います。この治療法に関してご質問などありましたら、外来でご相談ください。
内視鏡手術は、患者さまにとって傷が小さく、痛みが少なく、入院期間が短く、早期の職場・社会復帰ができるという大きなメリットがあります。当院では患者さまにとって最適な手術を選択し、より安全な低侵襲内視鏡手術を行うよう努めております。
2015年4月に内視鏡装置の更新を行いました。当院では3D内視鏡システム装置を導入しております。
詳細はこちらのページをご覧ください。



開胸手術(左)と胸腔鏡手術(右)の創部写真
◆胸腔鏡下肺悪性腫瘍手術(部分切除、区域切除、肺葉切除)
◆胸腔鏡下肺切除術(肺腫瘍、自然気胸など)
◆胸腔鏡下肺縫縮術
◆胸腔鏡下試験開胸術、試験切除術
◆胸腔鏡下縦隔腫瘍手術
◆胸腔鏡下胸壁腫瘍手術
◆胸腔鏡下良性縦隔腫瘍手術
◆胸腔鏡下良性胸壁腫瘍手術
肺がん・縦隔腫瘍に対する低侵襲治療
従来の肺癌の手術は20cm前後の皮膚切開で肋骨、筋肉を切断し、肋間を開胸器で開
大しなければなりませんでした(開胸手術)。当院では内視鏡を用いた手術(胸腔鏡手術)
を行っており、従来の手術法と比べて傷が小さく筋肉や肋骨を切断しないため、術後の
痛みや機能の悪化が少ないと考えられています。当院では高度の進行病変などを除いて
は、ほぼ全例に胸腔鏡を用いた手術を行っております。
当院における早期肺がんに対する診療と治療の流れ

胸腔鏡手術の実際
胸腔鏡Hybrid VATS(ハイブリッドバッツ:体に小さく開けた創から病変を直接観察し
ながら手術を行う)では、皮膚切開は2箇所(1cmの胸腔鏡挿入口と4〜6cmの手術操作
口)で手術を行います。
完全胸腔鏡下Complete VATSもしくはPure VATS(コンプリートバッツ、ピュアバッ
ツ:終始カメラで映したモニター画面を見ながら手術を行う)では、4箇所(1cmの胸腔
鏡挿入口と鉗子操作口、3cmの手術操作口)で手術を行います。


術後創部写真
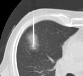
胸腔鏡下肺切除術
(手術の前には病変の場所にCTガイド下にてマーキングを行います。)






胸腔鏡下縦隔切除術
縦隔(じゅうかく)とは左右の肺の間に胸膜で囲まれた空間(すきま)をさします。こ
こに、発生する腫瘍を縦隔腫瘍と言います。縦隔には胸腺、心臓、大動脈、食道、気管
、リンパ管、神経節などが存在します。縦隔腫瘍は多くは良性ですが、悪性(約20%)も
存在し、ほとんどの腫瘍に対して手術を行います。放置すると気管・食道・心臓・神経
などが圧迫され種々の症状が現れます。当院では縦隔腫瘍に対しても基本的に胸腔鏡手
術を行っています。


早期肺がんの患者さんには、全例で低侵襲な胸腔鏡下手術を行っています。また早期肺
がんに対する肺ラジオ波治療も積極的に行っています。一方、進行肺がん(大きい腫瘍、
リンパ節転移を認める腫瘍など)に対して、術前化学療法(抗癌剤)と術前放射線療法
に対して、気道の確保を目的とした気管支鏡下での腫瘍切除およびステント留置などの
対症療法も行っております。当院では、肺がん診療に携わる一貫した様々な治療が可能
となっています。肺がん治療についてお悩みの方は、セカンドオピニオンも行っており
ますので、外来でご相談下さい。


食道がん術後創部写真
◆食道悪性腫瘍手術(胸腔鏡・腹腔鏡下によるもの)
◆腹腔鏡下胃切除術
◆腹腔鏡下噴門側胃切除術
◆腹腔鏡下胃局所切除術
◆腹腔鏡下胃全摘術
◆腹腔鏡下胃・十二指腸潰瘍穿孔縫合術
◆腹腔鏡下胃腸吻合術
◆腹腔鏡下噴門形成術
早期胃がんに対する低侵襲治療
胃がんに対する腹腔鏡下手術は、日本で1991年に開始され20年以上経過しています。
当院では内視鏡治療では切除しきれない、つまり胃がんの拡がりや胃の近くにあるリン
パ節をとる必要があると判断される早期胃がんに対して腹腔鏡下手術を行っております。
早期胃がんは、ほとんどが病期(ステージ)Tに含まれ、治る可能性が非常に高いことが
わかっています。同じように治ることが期待できるのならば、できるだけ身体に負担が
かからず、かつ術後の回復が早い方法がよい、がんの根治性と患者さんの身体への負担
の軽減を最優先にしようという考えから腹腔鏡下手術を行っております。
腹腔鏡下胃切除術の実際
全身麻酔下で手術を行います。まず腹腔内(腹腔:お腹の壁と臓器との間の空間)に炭酸
ガスを入れて膨らませ、お臍からカメラ(腹腔鏡)を挿入します。同時に手術操作に用い
る器具(鉗子など)を挿入するための5〜10mmの小さな穴を左右に4カ所開けます。そ
して腹腔鏡で撮ったお腹の中の様子をモニターに映し出して、胃切除や周囲のリンパ節
の切除を行います。開腹手術では見えにくかった細い血管や神経まで見えて繊細な手術
操作が可能です。
胃切除、切除後の再建を体外で行う場合は、開腹手術ほど大きな創にはなりませんが、
どうしても5〜7cmの切開創(傷)が必要となります。(腹腔鏡補助下胃切除術)
現在当院では、胃切除・切除後の再建を体内で行うため、切除した胃を取り出すための
切開創(傷)はお臍の上約2〜3cmで十分であり、腹腔鏡補助下での手術よりも更に小さ
な創で手術を完遂する事が可能となります。(完全腹腔鏡下胃切除術)
当院での腹腔鏡下胃切除術は「完全腹腔鏡下胃切除術」を主に行っています。

術後創部写真
完全腹腔鏡下幽門側胃切除術
(胃の出口(幽門)を含めて胃の下方約2/3を切除する術式)


胃の全体 十二指腸離断


左胃動脈 胃切離


残胃−十二指腸吻合 吻合終了
完全腹腔鏡下胃全摘術 (胃の全てを切除する術式)


食道離断 挙上空腸作製


食道−空腸吻合 吻合終了
全ての胃がんの患者さんに対し、この手術法が可能というわけではありません。高度に
進行した悪性腫瘍や、過去に開腹手術を繰り返し受けた状態、あるいは炎症が高度な場
合、全身状態が悪い場合など、内視鏡手術を行うと危険な場合もあります。当院では根
治度を保ちながら、できるだけ患者さんの負担を軽くするような手術を心がけています。
この術式に関してご質問などありましたら、外来でご相談ください。


◆腹腔鏡下肝切除術
◆腹腔鏡下胆管切開結石摘出術
◆腹腔鏡下胆嚢摘出術
◆腹腔鏡下(補助下)膵体尾部腫瘍切除術
◆腹腔鏡下脾摘出術
傷が小さく痛みが少ない低侵襲手術
胆嚢結石症や胆嚢炎、胆嚢ポリープに対しての治療では、一般的に胆嚢を袋ごと全てと
る胆嚢摘出術が行われます。胆嚢摘出術には開腹手術と腹腔鏡手術がありますが、当院
では原則、腹腔鏡下胆嚢摘出術を行っております。この術式の利点は従来の開腹手術に
比べ傷が小さく、術後の痛みが少なく回復が早いことです。また症例によっては更に傷
が小さく美容性に優れた単孔式腹腔鏡下胆嚢摘出術を行っております。

腹腔鏡下胆嚢摘出術の実際
全身麻酔をかけた状態で手術を行います。腹腔鏡下手術では腹部に4カ所の穴、単孔式
腹腔鏡下手術では1カ所の穴を開け、炭酸ガスをおなかの中に入れ、その穴から内視鏡
や手術鉗子を挿入し、画面を見ながら胆嚢を摘出する方法です。
単孔式腹腔鏡下胆嚢摘出術




腹腔鏡手術で胆嚢の摘出と総胆管結石の摘除を同時に行います。胆嚢摘出後、十二指腸
上部総胆管を切開し、胆道鏡を用いて直視下に胆石を除去します。
採石後は胆道鏡で結石遺残のないことを確認します。その後胆管切開部を腹腔鏡下に
体内で結紮縫合を行い、閉鎖します。







術後創部写真(6ヶ月後)
腹腔鏡下総胆管切開結石除去術は高度な技術を要します。当院では検査を行い、適応を
十分に検討したうえで積極的に行っております。但し、全ての総胆管結石の患者さんに
対し、この治療法が可能というわけではありません。治療法に関してご質問などありま
したら、外来にてご相談ください。
整容性を配慮した傷の小さく痛みが少ない最先端手術
粘液性嚢胞腫瘍:MCN、膵管内乳頭粘液性腫瘍:IPMN、漿液性嚢胞腫瘍:SCN、
SPN(solid pseudopapillary neoplasm)、内分泌腫瘍:NETなどの膵良性、低悪性度
腫瘍の中で、膵臓の中央から左側の体部・尾部にできた腫瘍に対し、胆嚢結石症や胆嚢
炎、胆嚢ポリープに対しての腹腔鏡下(補助下)膵体尾部切除を行っております。
腹腔鏡下(補助下)膵体尾部切除術の実際
従来の開腹手術では15cm以上の皮膚切開が必要で、美容面(整容性)や術後の痛みなど
が問題でした。一方、腹腔鏡手術では、4cmの小切開と5〜10mmの3〜4ヶ所の傷で
手術が可能です(図)。専用の器械を用いて膵切離を行い、小切開創から体外に取り出
します。術後の傷は小さく美容面で優れており、また術後の痛みも軽減されます。また
症例によっては完全腹腔鏡下膵体尾部切除を行う場合もあります。

術後創部写真




全ての膵臓腫瘍の患者さんに対し、この手術法が可能というわけではありません。膵臓
の右側の十二指腸側にできた場合は、膵頭十二指腸切除という手術などが必要になりま
す。また高度に進行した悪性腫瘍や、過去に開腹手術を繰り返し受けた状態、あるいは
炎症が高度な場合、全身状態が悪い場合など、内視鏡手術を行うと危険な場合もありま
す。当院では根治度を保ちながら、できるだけ患者さんの負担を軽くするような手術を
心がけています。この術式に関してご質問等がありましたら、外来で御相談下さい。


◆腹腔鏡下腎悪性腫瘍手術
◆腹腔鏡補助下腎(尿管)悪性腫瘍手術
◆腹腔鏡下副腎摘出術
◆腹腔鏡下副腎悪性腫瘍手術
患者さんに最適な痛みや傷の少ない治療
腎臓がん、腎盂がん、尿管がんに対する標準的な手術方法は従来約20cmの皮膚を切開
し、がんのある腎臓および尿管をすべて摘出する腎尿管摘除術とされてきました。
当院では腎臓・腎盂、尿管の悪性腫瘍に対して低侵襲な腹腔鏡下腎(尿管)悪性腫瘍手術
を施行しています。
従来の開腹手術と比較し腹腔鏡手術を行うことのメリットは、
1、傷が小さいこと
2、出血量が少ない
3、術後の回復が早いことです。
腹腔鏡下腎(尿管)悪性腫瘍手術の実際
全身麻酔下で手術を行います。まず腹腔内(腹腔:お腹の壁と臓器との間の空間)に炭酸ガ
スを入れて膨らませ、お臍からカメラ(腹腔鏡)を挿入します。同時に手術操作に用いる
器具(鉗子など)を挿入するための5〜10mmの小さな穴を左右に5カ所開けます。そし
て腹腔鏡で撮ったお腹の中の様子をモニターに映し丁寧に手術操作を行います。
腎臓の動静脈を切除し、腎臓を周囲の組織から剥離した後、腫瘍の種類、位置、大きさ
によって腹腔鏡下腎摘除術(腎臓を摘出する術式)、腹腔鏡下腎尿管摘除術(腎臓から膀胱
までつながる管である尿管および膀胱の一部ごと摘出する術式)を行います。腎盂腫瘍
・尿管腫瘍は同じ側の尿管を残すと再発する可能性が高いため、腎臓・尿管・膀胱の一
部までを一塊にしてとる術式が適応となります。腹部正中に約6cmの小切開創をおき、
腎臓を体外に摘出します。
また腎臓がんの治療は手術が中心になりますが、腎実質に存在し腫瘍径が小さい(直径
4cm以下)腎臓がんに対しては、積極的に経皮的局所療法である腎ラジオ波焼灼術(腎
RFA:radiofrequency ablation) を施行しています。




腹腔鏡下副腎腫瘍手術の実際
従来、副腎腫瘍に対する手術では約20cmの皮膚切開が必要でしたが、腹腔鏡手術では
傷は4カ所程度(1cmの傷が2カ所、5mmの傷が2カ所)となります。全身麻酔下で手術
を行います。まず腹腔内(腹腔:お腹の壁と臓器との間の空間)に炭酸ガスを入れて膨らま
せ、お臍からカメラ(腹腔鏡)を挿入します。同時に手術操作に用いる器具(鉗子など)を
挿入するための5〜10mmの小さな穴を左右に4カ所開けます。そして腹腔鏡で撮った
お腹の中の様子をモニターに映し丁寧に手術操作を行います。
副腎は後腹膜という奥深い場所にあります。他の臓器が固定されている膜を切開して、
剥離という動作で副腎以外の臓器の場所を移動させ、副腎を露出します。副腎は血管、
神経、結合組織、脂肪組織で周囲と固定されていますので、剥離、切開、止血を繰り返
しながら周囲と切り離し摘出します。プラスチックバックに入れて体外へ摘出しますが、
腫瘍の大きさに合わせて皮膚切開を追加します。




全ての患者さんに対し、これらの手術法が可能というわけではありません。高度に進行
した悪性腫瘍や、過去に開腹手術を繰り返し受けた状態、あるいは炎症が高度な場合、
全身状態が悪い場合など、内視鏡手術を行うと危険な場合もあります。
当院では根治度を保ちながら、できるだけ患者さんの負担を軽くするような手術を心が
けています。この術式に関してご質問などありましたら、外来でご相談ください。


◆腹腔鏡下小腸切除術
◆腹腔鏡下結腸切除術
◆腹腔鏡下結腸悪性腫瘍切除術
◆腹腔鏡下直腸切除・切断術
(低位前方切除術・超低位前方切除術・腹会陰式直腸切断術)
◆腹腔鏡下腸管癒着剥離術
◆腹腔鏡下虫垂切除術
◆腹腔鏡下腸閉鎖症手術
◆腹腔鏡下人工肛門造設術
個々の患者さんに最適な大腸がん治療の提供
当院では、早期発見・早期治療の理念のもと、個々の患者さまに合わせた、根治性(がん
をなおすこと)と安全性と低侵襲性(体への負担が少ないこと)に最も優れた治療を提供す
るために、内視鏡治療(内視鏡治療のページを参照)や腹腔鏡下手術を大腸がん治療にも
取り入れています。
内視鏡治療では切除しきれない、つまり大腸がんの拡がりや大腸の近くにあるリンパ節
をとる必要があると判断される早期大腸がん(結腸がん・直腸がん)に対して腹腔鏡下手
術を行っております。
当院では、基本的に全手術症例に対し、3D-CT画像を術前シミュレーションと術中ナ
ビゲーションに活用して「腹腔鏡下結腸・直腸手術」をより安全で的確に行うようにし
ております。

腹腔鏡下結腸・直腸切除術の実際
全身麻酔下で手術を行います。まず腹腔内(腹腔:お腹の壁と臓器との間の空間のことで
す)に炭酸ガスを入れて膨らませ、お臍からカメラ(腹腔鏡)を挿入します。この際、同
時に手、術操作に用いる器具(鉗子など)を挿入するために、5〜10mmの小さな穴を左
右に4ケ所開けます。そして腹腔鏡で撮ったお腹のなかの様子をモニターに映し出して、
大腸切除や周囲のリンパ節の切除を行います。開腹手術では見えにくかった細かい血管
や神経まで見えて繊細な手術操作が可能です。実際の腹腔鏡手術は、開腹手術と同じ全
身麻酔下で行います。
この手術は、専用の高性能カメラからの拡大した鮮明な画像を見ながら行うため従来の、
開腹手術では見えにくかった部位や細かい血管・神経まで見えて繊細な手術操作が可能
です。腹腔内で操作を終えたあとに最後に臍切開創を4−5cmに延長し病変をお腹の外
に取りだします。
結腸切除術の場合は体外で、直腸切除術の場合は体内で吻合(腸と腸をつなぐ)を行いま
す。特に直腸がんの場合、肛門温存術に関しては、非常に肛門に近くて従来なら永久人
工肛門となっていた超低位の直腸がんに対しても肛門縁から2〜3cmほど距離があって
一定の条件を充たせば、永久人工肛門を極力避けて自分の肛門を残す超低位直腸切除術
を積極的に行っています。
従来の手術で20cmほどお腹を切開した場合(開腹)と比較して、創が小さくてすむこ
とや、術後の痛みが少ないこと、術後の腸管運動の回復が早いために早くから食事がと
れること、入院期間が短くて早く社会復帰ができることなどが利点です。

術後創部写真






肝転移、肺転移などを伴う進行大腸がんに対してもラジオ波焼灼術を併用し、積極的に 腹腔鏡手術を取り入れています。
しかし全ての大腸がんの患者さんに対し、この手術法が可能というわけではありません。
他臓器浸潤(膀胱や子宮など)は拡大手術が必要な場合や、過去に開腹手術を繰り返し受 けた状態、あるいは炎症が高度な場合、全身状態が悪い場合など、内視鏡手術を行うと 危険な場合もあります。
当院では根治度を保ちながら、できるだけ患者さんの負担を軽 くするような手術を心がけています。
この術式に関してご質問等がありましたら、外来で御相談下さい。


◆腹腔鏡下鼠径ヘルニア手術
◆腹腔鏡下腹壁瘢痕ヘルニア手術
◆腹腔鏡下大腿ヘルニア手術
◆腹腔鏡下内ヘルニア手術
従来の鼠径ヘルニアの手術は鼠径部を5cmほど切開する開腹手術(従来法)です。
当院では、最新のメッシュを使用した腹腔鏡下鼠径ヘルニア修復術(TAPP法)を行
っています。従来法と比較して、
@傷が小さく痛みが少ない
A入院期間が短い(2〜5日程度)
B術後の違和感が少なく、日常生活に早く戻れる
Cヘルニアの状態をお腹の中から正確に把握・診断し、確実に修復するため再発が
少ない
などの利点が挙げられます。
腹腔鏡下鼠径ヘルニア修復術(TAPP法)の実際
お臍に10mmの穴をあけて内視鏡をおなかの中に挿入し、腹壁に開いた穴(ヘルニア門)を確認し、メッシュシートを穴にあてて閉鎖します。
従来法と比較して、腹部には2〜3個の5mm程度の小さな穴をあけて手術施行しますが、それらは手術後、時間が経てばほとんど目立たなくなります。
手術の当日に入院していただき、術後2〜5日で退院となります。





術後創部写真
全てのヘルニアの患者さんに対し、この手術法が可能というわけではありません。
全身状態が不良で全身麻酔が不可能な方、過去に開腹手術を繰り返し受けた方、嵌頓に より腸管壊死を起こしてメッシュが使用できない方では、内視鏡手術を行うと危険な場 合もあり、従来法を選択する場合もあります。当院では根治度、安全性を保ちながら、 できるだけ患者さんの負担を軽くするような手術を心がけています。


◆腹腔鏡下子宮全摘術
◆腹腔鏡下子宮筋腫核出術
◆腹腔鏡下子宮付属器腫瘍摘出術
当院では、婦人科良性疾患(子宮筋腫、良性卵巣腫瘍・子宮内膜症など)に対して積極
的に腹腔鏡下手術をおこなっております。
子宮筋腫は婦人科疾患の中で最も頻度の高いもののひとつですが、手術療法としては子
宮全摘術による根治手術と筋腫核出による子宮温存手術があります。従来の子宮筋腫に
対する子宮全摘手術は下腹部正中を20cmほど切開する開腹手術(従来法)でしたが、
近年、腹腔鏡下手術の普及に伴い子宮全摘術も腹腔鏡下手術が普及しております。当院
では、膣管の切開開放までの全ての操作を腹腔鏡で行う全腹腔鏡下子宮全摘術 total
laparoscopic hysterectomy(TLH) および腹腔鏡下子宮筋腫核出術を行います。
従来法(開腹手術)と比較して、
@術中の出血量が少ない
A傷が小さく痛みが少ない
B美容上優れている
C入院期間を短縮し、早期社会復帰ができる。
などの利点が挙げられます。
全腹腔鏡下子宮全摘術の実際
お臍に10mmの穴をあけて内視鏡をおなかの中に挿入します。下腹部には3個の5mm
程度の小さな穴をあけて手術施行しますが、それらは手術後、時間が経てばほとんど目
立たなくなります。基本的に卵巣は温存します。子宮を支持する靭帯の切離や吸収糸を
用いて子宮動脈の結紮切離、全周性に膣管の切開を腹腔鏡操作で行います。切除された
子宮は膣から摘出し回収します。腟壁の連続縫合を腹腔鏡下に施行し膣断端を閉鎖しま
す。手術の前日に入院していただき、術後5〜7日で退院となります。

術後創部写真




最後に全ての子宮筋腫の患者さんに対し、この手術法が可能というわけではありません。
全身状態が不良で全身麻酔が不可能な方、過去に開腹手術を繰り返し受けた方では、内
視鏡手術を行うと危険な場合もあり、従来法を選択する場合もあります。
当院では根治度、安全性を保ちながら、できるだけ患者さんの負担を軽くするような手
術を心がけています。

肝動脈化学塞栓術(TACE)
◆静脈血栓塞栓症に対する上大静脈・下大静脈フィルター留置術
◆血管塞栓術(救急止血術、動脈瘤など血管病変、腫瘍、子宮筋腫に対する子宮動脈塞栓術(UAE)など)
◆血管形成術(閉塞性動脈硬化症(ASO)に対する経皮的血管形成術(PTA)、経皮的腎血管拡張術、四肢の血管拡張術・ステント留置術など)
◆中心静脈注射用植込型カテーテル留置術(CVポート)
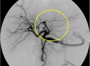
肝細胞がんに対する経カテーテル動脈化学塞栓療法の実際
大腿動脈(太ももの付け根の血管)又は上腕動脈の位置を確認し、消毒と局所麻酔を行い
ます。動脈を正確に穿刺してカテーテルを挿入し慎重に進めていきます。肝細胞がんを
栄養する血管が同定できたら、マイクロカテーテル(通常ものよりさらに細いカテーテル
)を栄養血管へ選択的に挿入し、腫瘍の近傍まで進め、そこから造影を行います。
次に肝細胞がんの径、腫瘍濃染、患者さまの全身状態、肝臓機能などを総合的に判断し
、マイクロカテーテルか治療後の造影では塞栓物質により肝細胞がんへの血流がなくな
っているので腫瘍は描出されません。


肝細胞がんを栄養する血管描出(塞栓前) 肝細胞がんを栄養する血管描出(塞栓後)


選択的動脈造影 上腸間膜動脈造影
当院では血管内治療とRFA治療を組み合わせて肝臓の機能を温存して体の負担が少なく、局所的で効果の高い治療を行っております。
閉塞性動脈硬化症(ASO)に対するカテーテル治療の実際
閉塞性動脈硬化症(ASO)に対するカテーテル治療とは、血管の中に風船のついた管
(バルーンカテーテル)を入れ、血管の狭窄や閉塞部でふくらませて、血管を拡張
させる血管拡張術と、拡張可能な小さいメッシュ状の金属の筒(ステント)を血管に
の開通性を保持し再閉塞を予防するステント留置術があります。留置術後ステントは
留置して、血管動脈内に留まり血管を支え続けます。

血管拡張前 血管拡張中 血管拡張後
子宮筋腫に対する子宮動脈塞栓術(UAE)の実際
子宮動脈塞栓術(UAE)とは、子宮筋腫に栄養を与えている子宮動脈の血流を止めること
によって、筋腫を縮小させ、筋腫によって生じる過多月経などの症状を改善する治療法
です。足のつけ根に局所麻酔を行い、足のつけ根の動脈にカテーテルを入れ筋腫の近く
まで進めます。カテーテルから塞栓物質を注入し、血管を塞ぎ血流を止めます。塞栓が
完了したらカテーテルを抜き、傷口を押さえて止血します。


血管描出(塞栓前) 血管描出(塞栓後)


塞栓前MRI画像 塞栓後MRI画像

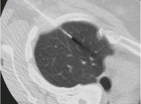
悪性腫瘍ラジオ波焼灼療法(肺)
◆経皮的針生検 (肺・乳房・肝・腎・骨)
◆閉塞性黄疸に対する経皮的胆管ドレナージ術
◆経皮的膿瘍ドレナージ術(肺・肝臓・腎臓・腹腔内・骨盤内・術後創部など)
◆食道がんによる食道の圧排および吻合部狭窄に対する食道狭窄拡張術
◆肺癌や炎症による気道の狭窄や閉塞に対する気管・気管支ステント留置術
◆尿管の狭窄や閉塞に対する経皮的腎(腎盂)瘻造設術
◆圧迫骨折/骨転移に対する経皮的椎体形成術(PVP)
◆腰部神経痛対症療法(注射)による神経根ブロック療法
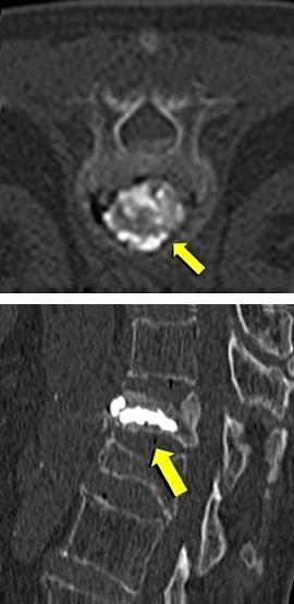
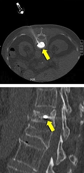
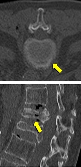
経皮的椎体形成術(骨セメント)の実際
局所麻酔下で皮膚から椎体に針を刺し、骨セメントを注入することにより、椎体を内部
から固定する方法です。骨粗鬆症による圧迫骨折で痛みを伴うもの、椎体の腫瘍(癌の
転移など)による痛みを伴うものが適応となります。古い圧迫骨折による亀背や側弯が
あっても、痛みがないものや、症状のないものは治療の適応となりません。症状が軽度
であっても歩行時、起立時に痛みがあり、画像診断で治癒していない圧迫骨折がある場
合は治療の適応となります。術前の画像診断にはMRI検査が重要で、病的骨折、骨粗鬆
症性骨折、治癒していない骨折の診断に不可欠です。

治 療 前 セメント注入中 治 療 後
当院では各種の透視画像下に椎体形成術を行っています。患者様は画像装置台に腹臥位
になって頂きます。皮膚に局所麻酔をして、透視下に針を骨折している椎体前方に挿入
します。骨セメント(時間がたてば硬化する液体)を注射器にて椎体内にゆっくりと透
視で観察しながら注入します。手術時間は一つの椎体であれば30〜60分程度です。セ
メントにより背骨が補強され、痛みを緩和することができます。除痛効果は速効性で、
注入直後より歩行可能となる場合も少なくなく、大半が24時間以内に痛みが良くなり
ます。通常入院期間は1〜2日です。この術式に関してご質問等がありましたら、外来
で御相談下さい。
| サイトマップ | 交通アクセス | 個人情報保護方針 | お問い合わせ |
Copyright © KOUJINKAI. All Rights Reserve

