トップページ > 症例

症例                                                                                                     症例メニュー

[黄色肉芽腫胆嚢炎] 手術:胆嚢摘出術(結腸切除術併施)

【症例】:

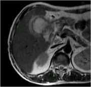
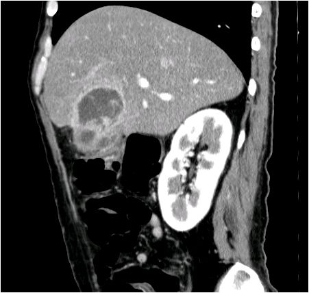
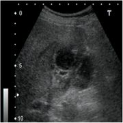
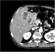
血液検査にて炎症反応の上昇を認め、精査の結果、急性胆嚢炎と診断。胆嚢摘出術(結腸切除術併施)を施行した。病理結果は黄色肉芽腫胆嚢炎であった。

超音波画像
CT画像
CT画像
CT画像
MRI画像
摘出検体画像
        

症例一覧