トップページ > 症例

症例                                                                                                     症例メニュー

[胆嚢がん] 手術:腹腔鏡下胆嚢摘出術

【症例】:

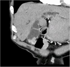
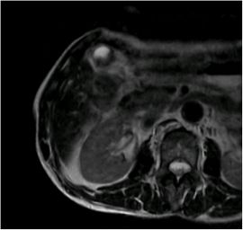
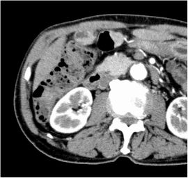
CT検査にて胆嚢底部に限局性に壁肥厚を認め、精査の結果、悪性病変疑いと診断。腹腔鏡下胆嚢摘出術を施行した。病理結果は胆嚢がんであった。

CT画像
CT画像
MRI画像
MRI画像
        

症例一覧