トップページ > 症例

症例                                                                                                     症例メニュー

[インスリノーマ(インスリン産生膵島細胞腫)] 手術:膵体尾部切除術

【症例】:

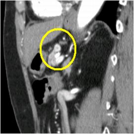
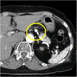
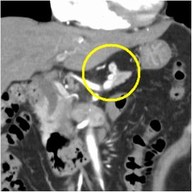
CT検査にて膵体部に腫瘍を認め、精査の結果、膵体部腫瘍疑いと診断し膵体尾部切除術を施行した。

病理診断結果はインスリノーマ(インスリン産生膵島細胞腫)であった。

CT画像
CT画像
CT画像
手術画像
        

症例一覧