トップページ > 症例

症例                                                                                                     症例メニュー

[上皮内膵がん] 手術:腹腔鏡補助下膵体尾部切除術

【症例】:

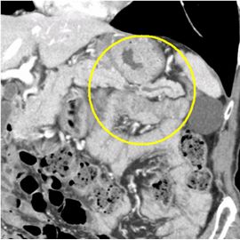
CT検査にて膵体部より末梢の主膵管拡張を認め、精査の結果、膵体部腫瘍疑いと診断した。腹腔鏡補助下にて膵体尾部切除術を施行した。病理診断結果は上皮内膵がん(Pan-In 膵がん)であった。

CT画像
CT画像(3D)
手術画像
手術画像
術後組織造影画像
術後創部画像
        

症例一覧