トップページ > 症例

症例                                                                                                     症例メニュー

救急

[急性虫垂炎] 手術:腹腔鏡下虫垂切除術

【症例】:

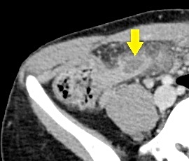
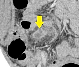
急性腹症のため救急受診。精査の結果、急性虫垂炎および限局性腹膜炎と診断。緊急手術(腹腔鏡下虫垂切除術)を施行した。病理結果は急性虫垂炎であった。

CT画像
CT画像
手術画像
手術画像
手術画像
切除検体画像
        

症例一覧