トップページ > 症例

症例
症例トップ

[慢性虫垂炎(急性増悪)] 手術:単孔式腹腔鏡下回盲部切除術

【症例】:

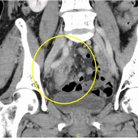
下腹部痛と軟便のため来院。血液検査にてCRP値、白血球数ともに高値を認め、精査の結果、慢性虫垂炎

および虫垂腫瘍疑いと診断した。症状の憎悪も認め、単孔式腹腔鏡下回盲部切除術を施行した。

病理診断結果は慢性虫垂炎の急性憎悪であった。

内視鏡画像
CT画像
手術画像
手術画像
手術画像
術後創部画像
        

症例メニュー