トップページ > 症例

症例                                                                                                     症例メニュー

[急性虫垂炎] 手術:腹腔鏡下虫垂切除術(虫垂周囲膿瘍を伴う)

【症例】:

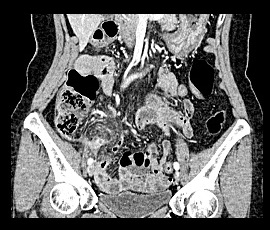
急性腹症のため救急受診。精査の結果、急性虫垂炎と診断。緊急手術(虫垂周囲膿瘍を伴う腹腔鏡下虫垂切除術)を施行した。病理診断結果は急性化膿性虫垂炎であった。

CT画像
CT画像
手術画像
手術画像
手術画像
手術画像
手術画像
手術画像
        

症例一覧