トップページ > 症例

症例                                                                                                     症例メニュー

小腸・大腸・虫垂

[静脈硬化性大腸炎(特発性腸間膜静脈硬化症)] 手術:腹腔鏡下結腸切除術

【症例】:

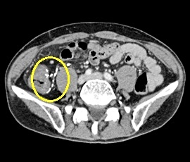
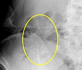
約6年前より繰り返す右側腹部痛と下痢を主訴にて精査目的に受診。腹部レントゲン検査にて、右側結腸の腸間膜側に一致した石灰化を認め、精査の結果、典型的な結腸辺縁静脈の石灰化と診断。手術(腹腔鏡下結腸切除術)を施行した。病理診断結果は、静脈硬化性大腸炎であった。

レントゲン画像
CT画像
CT(3D)画像
内視鏡画像
手術画像
術後検体画像

症例一覧