トップページ > 症例

症例                                                                                                     症例メニュー

小腸・大腸・虫垂

[急性虫垂炎] 手術:腹腔鏡下回盲部切除術

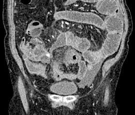
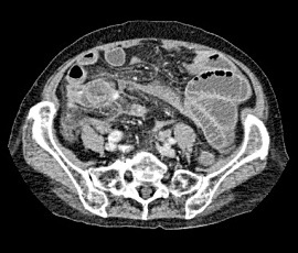
【症例】:

右下腹部痛にて受診。精査の結果、急性虫垂炎、汎発性腹膜炎と診断。手術(腹腔鏡下回盲部切除術、腹腔内ドレナージ術)を施行した。

CT画像
CT画像
手術画像
手術画像
手術画像
手術画像

症例一覧