トップページ > 症例

症例

症例メニュー

子宮・子宮付属器

[卵巣腫瘍(良性)] 手術:腹腔鏡下子宮付属器腫瘍摘出術

【症例】:

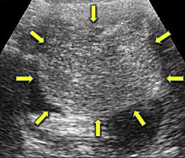
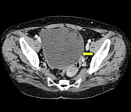
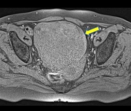
急性腹症にて救急受診。腹部超音波検査にて骨盤内に子宮、膀胱を圧排する約15cm大の辺縁が円滑な単房性腫瘤(矢印)を認め、精査の結果、卵巣腫瘍(矢印)と診断。手術を施行した。病理結果は、成熟嚢胞性奇形腫であった。

超音波画像
CT画像
MRI画像(脂肪抑制T1強調画像)
手術画像

症例一覧