トップページ > 症例

症例

症例メニュー

ヘルニア

[大腿ヘルニア] 手術:腹腔鏡下ヘルニア手術

【症例】:

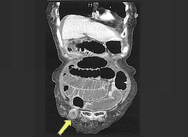
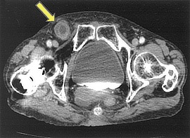
腹痛と嘔吐を主訴に精査加療目的に受診。CT検査にて、右鼡径部にヘルニア及び腸閉塞を認め、精査の結果、大腿ヘルニア嵌頓(かんとん)と診断。徒手整復を試みたが整復できず、手術(腹腔鏡下ヘルニア手術)を施行した。

CT画像
CT画像
手術画像
手術画像
手術画像
手術画像

症例一覧