トップページ > 症例

症例

症例メニュー

ヘルニア

[腹壁瘢痕ヘルニア] 手術:腹腔鏡下ヘルニア手術

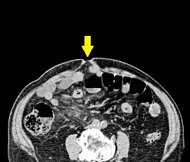
【症例】:

腹痛と嘔吐を主訴に精査加療目的に受診。その前に膵体尾部嚢胞に対して腹腔鏡補助下膵体尾部切除術を施行。 CT検査にて、腹壁にヘルニアを認め腹壁瘢痕ヘルニアと診断。 手術(腹腔鏡下ヘルニア手術)を施行した。

CT画像
CT画像
手術画像
手術画像
手術画像
手術画像

症例一覧