トップページ > 症例

症例

症例メニュー

ヘルニア

[鼡径ヘルニア] 手術:腹腔鏡下鼠径ヘルニア修復術(TAPP法)

【症例】:

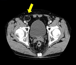
以前より左下腹部に違和感があり受診。精査の結果、左外鼡径ヘルニアと診断。手術(腹腔鏡下ヘルニア手術

(TAPP法))を施行した。

CT画像
手術画像
手術画像
手術画像

症例一覧