トップページ > 症例

症例

症例メニュー

ヘルニア

[鼡径ヘルニア] 手術:腹腔鏡下ヘルニア手術(TAPP法)

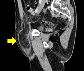
【症例】:

検診にて左下腹部の腫脹を指摘され受診。精査の結果、鼡径ヘルニア嵌頓(かんとん)と診断。手術(腹腔鏡下ヘルニア手術(TAPP法))を施行した。

CT画像
CT画像
手術画像
手術画像
手術画像
手術画像

症例一覧