トップページ > 症例

症例                                                                                                     症例メニュー

救急

[メッケル憩室穿孔] 手術:腹腔鏡下小腸切除術(単孔式)

【症例】:

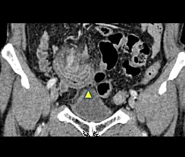
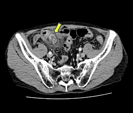
急性腹症にて救急受診。CT検査にて、下腹部正中右側の回腸遠位部に腸管壁肥厚と周囲の脂肪織濃度上昇および微小な遊離ガス像を認め、内部に嚢胞性病変を認めた。精査の結果、メッケル憩室炎、穿孔と診断。緊急手術(腹腔鏡下小腸切除術手術(単孔式))を施行した。

CT画像
CT画像
手術画像
切除検体画像

症例一覧