従来の肺がんの手術は20cm前後の皮膚切開で肋骨、筋肉を切断し、肋間を開胸器で開大しなければなりませんでした(開胸手術)。当院では内視鏡を用いた手術(胸腔鏡手術)を行っており、従来の手術法と比べて傷が小さく筋肉や肋骨を切断しないため、術後の 痛みや機能の悪化が少ないと考えられています。当院では高度の進行病変などを除いては、ほぼ全例に胸腔鏡を用いた手術を行っております。
詳細は低侵襲治療のページをご覧ください。

●高分解能CT(HRCT)により、10mm以下の早期肺がんの発見
●気管支鏡、CTガイド下経皮針生検などの安全・確実な診断
(原則、治療前診断)
●胸腔鏡下手術、肺ラジオ波焼灼治療などの低侵襲治療の実施

肺は左右に1つずつあり、右肺は上葉・中葉・下葉の3つに、左肺は上葉・下葉の2つに分かれています。肺は呼吸によって身体の中に酸素を取りいれ二酸化炭素を排出する重要な役割をしています。呼吸をするとき、空気は口や鼻から咽頭(いんとう)・喉頭(こうとう)を経て気管を通り、気管支と呼ばれる左右の管に分かれ肺に入ります。気管支は主気管支、葉気管支、区域気管支と順次分岐して肺胞に至ります。肺胞で酸素を身体に取り入れ、炭酸ガスを排出します。
気管支や肺胞から発生する悪性腫瘍の総称です。肺がんは進行が速く、比較的早期にリンパ節転移や遠隔転移を起こしやすいがんです。2016年がん統計の部位別死亡者数において男性は第1位、女性は大腸がんに次いで第2位です。
喫煙者ほど肺がんになりやすく、一般に B I (ブリンクマン係数:1日の本数x喫煙年数) が600以上の重喫煙者は肺がんの高危険群で非喫煙者の4〜5倍と言われています。また非喫煙者でも周囲に流れるたばこの煙を吸う受動喫煙により発症リスクが高まることもわかっています。今後当分の間、肺がんは部位別がん死亡者数において増加してゆくことが予想されています。



肺がんには大きく分けて非小細胞がん(腺がん、扁平上皮がん、大細胞がんなど)と小細胞がんの2つの種類があります。肺がんは組織型の違いにより発生することが多く、部位、進行形式と速度、症状などが大きく異なります。非小細胞がんの中で最も発生頻度の高い腺がんは、肺の末梢に発生するがんの代表的なもので肺がん全体の約40〜45%を占めます。非喫煙者の女性もかかる場合もあり、近年増加が著しいことが問題となっています。
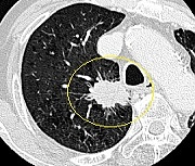
腺がんは初期の病変ではすりガラス状陰影(Ground Glass Attenuation : GGA)であることが多く、胸部レントゲン検査では発見が非常に難しく、高分解能CT(HRCT)が有用です(左図)。
扁平上皮がんは比較的太い気道(気管支)に発生することが多いがんで、比較的頻度が高く、肺がん全体の25〜30%を占めます。扁平上皮がんの主な原因は喫煙と考えられており、たばこの本数が多ければ多いほど、危険性は増加します(中図)。
小細胞がんは非小細胞がんに比べて、発育が速く転移を起こしやすいことと、抗がん剤や放射線療法が非常に有効なことが特徴で、この点で他の肺がんとは治療上の対応が異なり、手術よりも抗がん剤の治療が主体になることの多い肺がんです(右図)。



肺の末梢に発生する腺がんなどの早期肺がんでは無症状のことが多いです。進行すると喀痰や胸痛、背部痛、胸水貯留とそれに伴う呼吸困難などの症状が出現することがあります。肺門部に発生することが多い扁平上皮がんや小細胞がんでは咳や血痰、進行すると肺炎を引き起こすこともあります。さらに進行するとリンパ節や肝臓、脳、骨などに転移して声がかすれる、頭痛、嘔吐、麻痺、胸背部痛、体重減少などの症状が出現することもあります。
低線量肺がんCT検査は肺がんを検出する形態診断法として、現時点で最も有力な検査です。低線量肺がんCT検査における肺がんの検出感度は93.3〜94.4%、特異度は72.6〜73.4%であり、胸部単純レントゲン検査よりも有用との報告もあります。特に、早期肺癌においてはその検出率の向上がみられます。
[日本肺癌学会編:肺癌診療ガイドライン2017年版 ver1.1より引用(一部改変)]





※M1は転移臓器によって以下のように記載する
肺 PUL 骨髄 MAR 骨 OSS 胸膜 PLE リンパ節 LYM
肝 HEP 腹膜 PER 脳 BRA 副腎 ADR 皮膚 SKI その他 OTH
[日本肺癌学会編:肺癌取扱い規約 第8版より引用(一部改変)]
従来の肺がんの手術は20cm前後の皮膚切開で肋骨、筋肉を切断し、肋間を開胸器で開大しなければなりませんでした(開胸手術)。当院では内視鏡を用いた手術(胸腔鏡手術)を行っており、従来の手術法と比べて傷が小さく筋肉や肋骨を切断しないため、術後の 痛みや機能の悪化が少ないと考えられています。当院では高度の進行病変などを除いては、ほぼ全例に胸腔鏡を用いた手術を行っております。
詳細は低侵襲治療のページをご覧ください。

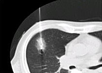
高齢や低心肺機能などにより外科的切除が施行できない患者様を中心に肺ラジオ波焼灼治療(RFA)を行っております。より身体への負担が少なく、肺がんの治療を行うことが可能です
詳細は肺RFAのページをご覧ください。
