トップページ > 症例 > 副腎がんについて

     

腎臓とは

腎臓は体内で不要になった水分や物質を、尿として排出する臓器です。背中側に左右に1個ずつあります。

構造をさらに細かくみると、腎臓は腎実質という尿を作る部分と、実質により作られた尿が集まる腎盂(じんう)という組織からできています。

腎臓がんは腎実質から発生します。

腎盂にがんが発生することもありますが(腎盂がん)、

これは尿路上皮から発生するもので、尿路上皮がんとして取り扱われ、一般でいう腎臓がんとは異なります。

腎臓がんとは

腎臓がんは 40歳代くらいから増加し、60、70歳代で多く見られます。また男性に多いがんです。

発生の危険因子としては、喫煙、肥満があげられ、血液透析患者さんにもよく見られます。

また、一部の遺伝性疾患で好発することも知られています。症状は進行するまで無症状のことが多いです。
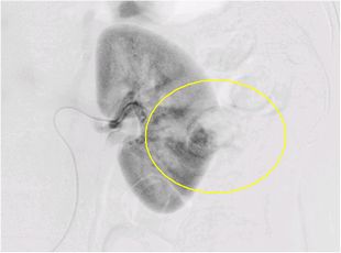
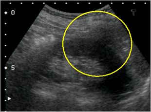
当院では、高精度画像診断によって、より早期の段階で腎がんを診断することに努めています。小さな腎腫瘍においては、しばしば良性腫瘍とがんの鑑別が難しいことがありますので、腹部超音波検査、CT検査MRI検査、また血管造影検査を組み合わせて、総合的に診断を行います。



超音波検査

CT検査

血管造影検査

臓器標本

腎臓がんの治療

治療に関しては、当院では腹腔鏡下にて手術を施行しています。

      

症例.(腎細胞がん(右))       症例.(腎細胞がん(左))


また腎臓がんの治療は手術が中心になりますが、腎実質に存在し腫瘍径が小さい(直径4cm以下)腎臓がんに対しては、

積極的に経皮的局所療法である腎ラジオ波焼灼術(腎 RFA:radiofrequency ablation)を施行しています。

詳細はRFAのページをご覧ください。

 


腹腔鏡

腎 RFA