副腎は腎臓の上にあり、大きさは3〜4cmで左右1対の臓器です。右は肝臓、腎臓、下大静脈に、左は脾臓、膵臓、腎臓、腹部大動脈内部に囲まれています。表面の皮質と内部の髄質に分かれていて生命を維持するうえで非常に重要な各種ホルモンを産生しています。これらのホルモンは体内でその濃度が一定に保たれ、過剰になったり不足したりしないように分泌量が調節されています。
副腎組織から発生する腫瘍はほとんどが良性腫瘍ですが、副腎皮質がんや他臓器がんからの転移によって発生する悪性腫瘍もあります。良性腫瘍でも副腎腫瘍がホルモンを異常に分泌している場合は、高血圧や糖尿病などの症状が出てくるために治療(手術)の対象となります。
またホルモンを産生しない副腎腺腫は小さなものでは定期的な経過観察だけを行いますが、増大傾向や症状を伴う場合は治療(手術)の対象となります。
副腎皮質にできる腫瘍
良性 機能性副腎皮質腺腫(ホルモン産生あり)アルドステロン症
クッシング症候群、プレクリニカルクッシング症候群
性ステロイド過剰産生
非機能性副腎皮質腺腫(ホルモン産生なし)
悪性 副腎がん(副腎皮質がん)
副腎髄質にできる腫瘍
良性 褐色細胞腫 神経鞘腫など
悪性 悪性褐色細胞腫




基本的に機能性腫瘍は大きさに関係なく手術適応となります。一方、非機能性腫瘍は基本的には経過観察の方針となりますが、サイズが大きい場合や経過観察中に増大する場合は悪性腫瘍の可能性もあり、手術を検討します。
また、以前他の臓器のがんを患ったことがある方の場合は、そのがんの転移の可能性もあります。
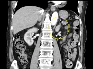
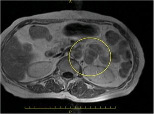
超音波検査、CT検査で副腎腫瘍を認めた場合、血液検査・尿検査などでホルモンを過剰に産生していないかを調べます。
必要に応じてMRI検査や血管造影検査(左右の副腎静脈からホルモンサンプリング)を追加して総合的に診断します。
治療が必要と判断した場合には、当院では腹腔鏡下腎(尿管)悪性腫瘍手術を施行しています。
詳細は低侵襲治療のページをご覧ください。

