トップページ > 症例 > 胆嚢・総胆管の病気について

症例                                                                                                      症例トップ

胆嚢・総胆管の病気について症例一覧

胆道(胆嚢・総胆管)について

胆道とは、肝臓で作られた胆汁が十二指腸に至るまでの通り道です。
胆汁は肝臓の肝細胞で作られ、肝内の小さな流れが徐々に集まって太い流れとなり肝門部でまとまった後に肝臓外へ出て胆嚢に一度貯められます。

食事をすると胆嚢が収縮し、胆汁は総胆管を通って十二指腸から放出されます。

胆石症(胆嚢結石症、総胆管結石症)について

胆道内に結石ができることを胆石症といいます。
胆石は、胆汁の成分を元に作られる結石で、できる場所によって肝内結石、胆嚢結石、総胆管結石に分けられます。
最も多いのは胆嚢結石で約80%、次いで胆管結石が約20%、肝内胆管結石は数%を占めます。
胆石を有しているからといって必ずしも自覚症状を認めるわけではありません。結石が胆嚢の出入り口にはまり込んだ時に生じるみぞおちや右わき腹の疝痛(胆石発作)が特徴的です。その他、背中の痛み、吐き気や嘔吐を伴うこともあります。症状は特に食後1〜2時間や夜間に発現することが多く、通常30分から数時間で消失します。症状を繰り返すことで慢性化し、慢性的な炎症は胆嚢がんのリスクにつながる可能性もあります。また結石による閉塞に細菌感染を併発した場合(胆嚢炎、胆管炎)は、腹痛に加えて発熱、黄疸を認め、さらに進行すると血圧低下、意識障害を伴って緊急対応を要する非常に重篤な状態となる場合もあります。
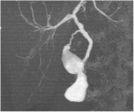
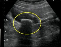
胆石症の診断には血液検査、超音波検査、CT検査が有用です。


超音波画像

CT画像

手術標本

胆石症の治療について

胆嚢結石症と診断された場合には、結石の大きさ、個数、炎症の程度、自覚症状の有無などを考慮し、保存的治療を行うか手術で胆嚢を摘出するかを決定します。保存的治療では胆石溶解剤の内服で経過観察をします。

手術が適応になった場合は原則、腹腔鏡下胆嚢摘出術を施行します。

腹腔鏡下胆嚢摘出術とは、腹部に4カ所の穴(今後10mm→5mmの可能性)を開け、その穴から内視鏡や手術鉗子を挿入し、胆嚢を摘出する方法です。この術式の利点は傷が小さく、術後の痛みが少なく回復が早いことです(身体にやさしい胆石手術)。ただし癒着が高度な場合や、胆嚢の炎症、萎縮や肥厚などが強い場合には開腹手術に移行する可能性もあります。

 

総胆管結石症と診断された場合には、まずERCP(逆行性胆道造影)を行い、所見に応じて砕石・排石を行います。結石の大きさに応じて、内視鏡的に乳頭部のバルーン拡張ないし(EST)切開術を施行します。大きい総胆管結石でもほとんどの場合は内視鏡的に砕石することが可能ですが、内視鏡的治療が困難な場合は手術を行います。


手術画像

砕石術画像

腫瘍(胆嚢腺筋腫症、胆嚢ポリープ、胆嚢がん、胆管がんなど)について

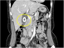
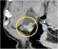
無症状の方でも超音波検査、CT検査により偶然、胆嚢内に腫瘍が見つかることがあります。胆嚢の腫瘍では胆嚢ポリープや胆嚢腺筋症など、良性腫瘍が多く見られますが、中には胆嚢がんを認める場合があります。検査で胆嚢内の腫瘍を認めた場合には大きさや形状に応じて悪性腫瘍との鑑別が必要となります。


造影CT横断像(胆嚢がん)

造影CT冠状断像(胆嚢がん)

造影CT矢状断像(胆嚢がん)

胆嚢ポリープについて

胆嚢ポリープは胆嚢の内腔に粘膜が盛り上がってできる隆起のことで、基本的には良性の病変です。
しかし、そのサイズや形によって悪性の可能性を考慮しなくてはいけません。
10mm以上のものは悪性の可能性を考えて手術による胆嚢摘出を検討します。

胆嚢腺筋腫症について

胆嚢腺筋腫症は胆嚢壁が限局性あるいはびまん性に肥厚した病変です。胆嚢壁が肥厚するため、やはり悪性病変との鑑別が必要となります。
病変の部位や広がりから3つの型に分類されてます。
・T型(限局)腺筋症 :Localized type
・U型(分節型)腺筋症:Segmental type
・V型(びまん型)腺筋症:Diffused type
胆嚢腺筋症は悪性病変との鑑別が必要であることに加え、胆嚢結石ができやすくなったり、胆嚢炎を起こす原因にもなります。


T型腺筋症

U型腺筋症

V型腺筋症