肝臓とは右上腹部に位置し、成人で約800〜1,400gの重量を持つ人間の体内で脳に次いで二番目に大きな臓器です。腸で吸収されて運ばれたさまざまな物質の、代謝、排泄、解毒など生命の維持に必要な多くの働きを肝臓は行なっています。また消化液である胆汁を作り、胆道(胆嚢、総胆管)を通って十二指腸から腸管に流れ、消化の役割も担っています。
肝臓について

肝臓がんの治療について
原発性肝がん(肝細胞がん)の多くは、ウイルス性慢性肝疾患、特に肝硬変を基礎疾患にして発生するがんです。
また転移性肝がんは肝臓以外の臓器にできたがん(原発巣)が肝臓に転移したがんです。
原発性肝がん(肝細胞がん)の多くはB型およびC型肝炎ウイルス感染による肝硬変を背景とし、肝機能の低下を伴っているため、治療においてはがんだけでなく肝機能も予後を決めるものとなります。そのためがんの大きさや個数だけではなく、肝機能を考慮した治療法の選択が必要となります。
さらに肝細胞がんは、治療後も異時性、同時性に再発する頻度が高く、再発時の治療も念頭に置き、肝機能を温存することも考慮しなくてはならず、他のがん以上に体への負担が少ない治療が重要とされます。
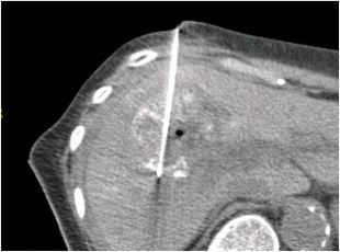
当院では肝臓ラジオ波治療および腹腔鏡手術を積極的に行っています。
RFA
腹腔鏡手術








