膵臓がんについて
膵臓がんとは膵臓から発生した悪性腫瘍のことを指しますが、一般的には膵管がんのことをいいます(その他の膵腫瘍は後述)。膵管がんは膵管上皮から発生し、膵臓にできる腫瘍性病変の80-90%を占めています。わが国の膵臓がんは近年増加傾向にあり、喫煙・膵臓がんの家族歴・糖尿病・慢性膵炎などとの関連が指摘されています。

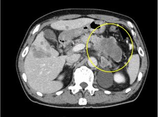
造影CT横断像(膵尾部がん)

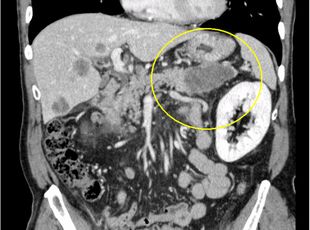
造影CT CPR像(膵尾部がん)
その他の膵臓腫瘍について
膵管内乳頭粘液性腫瘍(Intraductal papillary mucinous neoplasm:IPMN)
粘液性嚢胞腫瘍(Mucinous cystic neoplasm:MCN)
漿液性嚢胞腫瘍(Serous cystic neoplasm:SCN)
膵充実性偽乳頭状腫瘍(Solid-pseudopapillary neoplasm)
内分泌腫瘍(Endocrine neoplasm):インスリノーマ、ガストリノーマなど
腫瘍性膵嚢胞について
膵嚢胞(すいのうほう)とは、膵臓の内部や周囲にできる様々な大きさの「袋」のことで、症状はなくCTやMRI検査などにより偶然発見されることの多い病気です。急性膵炎や慢性膵炎に伴ってできる嚢胞はもちろん良性疾患となりますが、炎症とは関連のない腫瘍性膵嚢胞というものがあります。
腫瘍性膵嚢胞は頻度が多い順に膵管内乳頭粘液性腫瘍(IPMN)、粘液性嚢胞腫瘍(MCN)、漿液性嚢胞腫瘍(SCN)などに分類されています。

膵管内粘液性腫瘍(IPMN)

漿液性嚢胞腫瘍(SCN)
膵臓腫瘍の検査について
膵臓がんは胃がんや大腸がんのように内視鏡にて腫瘍そのものをみることができません。
特に早期の膵臓がんでは直径が2cm以下と小さく、超音波検査やCT検査のみでは診断が困難なことが多く、膵臓がんが疑われた場合は精密検査として以下のような検査を行います。
●MRI検査
CT検査と同じような画像が得られますが、MRCP(MR 胆管膵管撮影)という特殊な条件での撮影では胆管や膵管の描出に優れており、膵臓がんによる胆管や膵管への圧迫の有無がわかります。

MRCP MIP画像(膵頭部嚢胞)

MRI 横断像(膵頭部嚢胞)
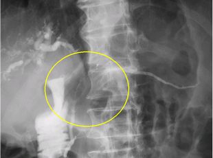
●ERCP(内視鏡的逆行性胆管膵管造影)検査
膵臓は十二指腸に接しており、膵管は十二指腸乳頭を通り、膵液という消化液を十二指腸に分泌しています。内視鏡を十二指腸まで挿入し、十二指腸乳頭から細い管を膵管の中に入れて、直接膵管を描出します。
膵臓がんによる膵管の圧迫を認めることがあります。また、膵液を採取して中にがん細胞がないかを調べます。
検査により膵炎を起こすことがあるため患者さんに負担のある検査ですが、膵臓がんの精密検査としては重要な検査です。

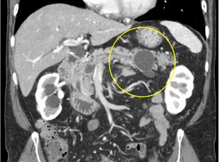
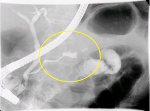
膵頭部がん症例

膵体部粘液性嚢胞腫瘍症例
●腫瘍マーカー
膵臓がんがある場合、血液の中の腫瘍マーカーという物質が上昇することがあり、CA19-9・CEA・DUPAN-2などが挙げられます。血液検査で腫瘍マーカーを測定します。
膵臓がんの治療について
膵臓がんの手術は、腫瘍のできた場所によって手術の方法が異なります。膵頭部のがんでは膵頭十二指腸切除術、膵体
尾部のがんでは膵体尾部切除術を行います。
■膵頭十二指腸切除術の実際■
膵頭部、十二指腸(胃)、胆嚢、胆管、膵頭部周囲のリンパ節を摘出する手術です。
がんが血管に浸潤している場合には、血管を合併切除します。切除後には、膵臓と空腸、胆管と空腸、胃(十二指腸)と
空腸を吻合して膵液、胆汁、食事の通る経路を再建します。

■膵体尾部切除術の実際■
膵体尾部と脾臓、膵周囲のリンパ節を摘出する手術です。門脈、腹腔動脈、副腎などにがんの浸潤を認める場合には、
これらの臓器・血管を合併切除します。
また症例によっては、腹腔鏡下膵体尾部切除術を行う場合もあります。術後の傷は小さく美容面で優れており、術後の
痛みも軽減されます。










